-
甲状腺癌的“积极观望”:避免过度治疗的科学选择
在甲状腺癌的诊治过程中,“过度治疗”这一话题越来越被关注。随着体检普及和检测技术的进步,许多早期微小的甲状腺癌被发现。医学界开始强调并非所有甲状腺癌都需要立即进...
-
肺部CT检查需谨慎,医生提醒:三点必知事项
肺部CT检查作为现代医学诊断工具之一,广泛应用于肺部疾病的筛查,尤其是在检测肺癌、肺炎以及慢性阻塞性肺疾病(COPD)等方面具有重要作用...
-
高血脂患者能喝咖啡吗?医生揭示其利弊
咖啡,作为一种全球广泛饮用的饮品,一直以来备受人们喜爱。无论是清晨的第一杯,还是忙碌工作中的短暂休息,咖啡总能带给人们一种提神醒脑的效果。随着研究的深入,咖啡对...
-
南宁“互联网+护理服务”模式的探索与发展
随着我国人口老龄化趋势的加剧,居家养老已成为越来越多家庭的选择。对于高龄、失能、康复期及终末期患者而言,传统的医疗护理往往无法满足其日常需求。如何创新居家护理服...
-
阿托伐他汀的正确使用:高血脂患者的用药指南
65岁的老王一度自认为身体结实,虽然略微发胖,但他觉得自己在生活中还能应对一切挑战。前段时间,邻居告诉他体检查出高血脂,随手递给他一盒“阿托伐他汀”,并表示这药...
-
高尿酸患者补充维生素B12的三大健康益处
随着现代社会生活方式的不断变化,高尿酸血症已经成为许多人面临的健康问题。尿酸过高不仅是痛风的根源,也可能引发一系列并发症,严重影响患者的身体健康。幸运的是,近年...
-
结节患者如何调整饮食:避免这五类食物,保护健康
随着现代社会对健康问题的关注日益加强,结节这一体内局部组织异常增生的现象引起了广泛的讨论。结节并不总是意味着癌症,但如果不加以干预,它们可能发展为更为严重的健康...
-
腺肌症保宫方案:射频消融治疗的效果与意义
腺肌症,作为一种常见的妇科疾病,影响了许多女性的身体健康与生活质量。典型的症状包括月经量增多、严重的痛经、以及伴随而来的贫血等问题。随着病情的进展,子宫逐渐增大...
-
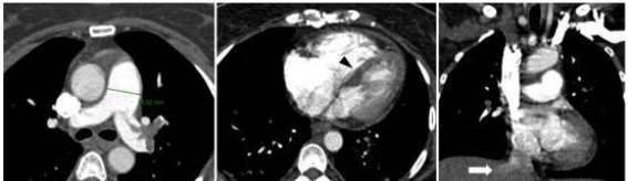
全麻下腹腔镜子宫切除术后急性肺栓塞的临床诊治
急性肺栓塞(PE)作为一种较为少见但极具致命性的围手术期并发症,给临床带来了巨大的挑战。尤其在全麻下进行腹腔镜手术时,由于症状隐匿且难以识别,PE的诊断往往受到...
-
骨折不愈合的原因与治疗:康复医学的深度解读
骨折不愈合,即医学上所说的“骨不连”,是骨科治疗中的一大难题。它不仅让患者在身体上承受持续的疼痛,还可能导致长时间的功能障碍,影响日常生活。针对这一问题,治疗方...
